See Beyond Symptoms. Detect Cancer Early
Advanced MRI, CT Calcium Scoring, and cutting-edge biomarkers work together to uncover hidden tumors at their earliest, most treatable stages. In fact, our comprehensive fully body scan examines every major organ and system, detecting over 200 conditions before symptoms appear.
Why Early Detection Matters
Most Cancers Grow Silently Without Warning
Most cancers remain silent for years. Early detection helps catch them when they’re smallest and most treatable
In India, more than 70% of cases of cancer are diagnosed at advanced stages because of decreased cancer awareness and lack of early screening
Source: An American Society of Clinical Oncology
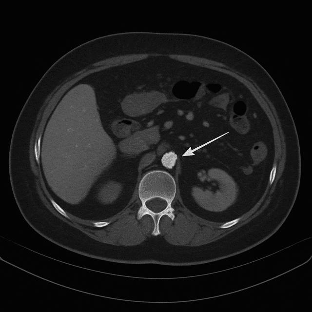
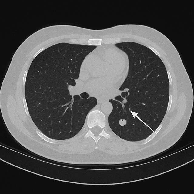
Tests for cancer screening
How Our Checkup Detects Cancer Early
Our MRI-first approach detects structural changes that can indicate early-stage cancer
Detects hidden tumors anywhere in the body as small as a few millimeters.

Full Body MRI
Detects hidden tumors anywhere in the body as small as a few millimeters.

Lung Scan
Screens for early-stage lung cancer and small nodules while they’re still treatable.

Comprehensive Blood Analysis
Measures cancer-associated markers in your blood to uncover silent risks.
| Product comparision | Cent Checkup | Basic Checkup |
| Fully Body MRI | ||
| Lung Scan | ||
| Blood Markers |
India’s most comprehensive health checkup
Cancer Screening is Just One Part of the Complete Picture
More than routine. More than basic. 200+ health insights so you’re always ahead of what’s happening inside your body.
CT Calcium Scoring & ECG
Our CT Calcium Scoring and ECG together detect early signs of heart disease assessing plaque buildup and heart function before symptoms appear
Full Body MRI
A detailed, radiation free scan of your entire body that detects tumors, organ issues, and structural abnormalities early before symptoms appear.
100+ Blood & Urine Parameters
Our blood test analyzes 100+ blood parameters across heart, metabolism, hormones, immunity, and nutrition revealing early imbalances before symptoms appear.
DEXA Scan
A DEXA scan accurately measures bone density, muscle mass, and visceral fat helping detect early signs of osteoporosis and metabolic risk
Cent’s Team
Backed by the Best
Collectively, the Cent team brings over 75 years of experience in healthcare, technology, and innovation.

Arpit Garg
Brings 10+ years of AI & tech product experience, driving user-focused innovation to transform preventive healthcare at Cent

Dr. Alexander Kuruvilla
Former Chief Health Strategy Officer at Practo, advises Cent with deep expertise in clinical strategy and digital health.

Dr. Nandakumar K
Chief Radiologist at Cent bringing 25+ years of imaging expertise to advance early diagnosis and prevention.
FAQ
Frequently Asked Questions
Cent is fundamentally different from a regular health checkup in both depth and purpose. While traditional checkups rely on basic blood panels and limited physical exams, Cent combines over 100+ advanced blood tests with full-body MRI, CT Calcium Scoring, DEXA scan, and ECG giving you a far more detailed and accurate view of your health. It’s designed not just to test routine parameters, but to detect early warning signs of 200+ conditions like cancer, heart disease, and neurological issues, even before symptoms appear. With organ-wise scores, biological age tracking, and AI-powered recommendations reviewed by doctors, Cent doesn’t just inform it empowers you to act early and prevent what others miss.
Cent makes advanced preventive health simple, accurate, and reliable. You begin by selecting your package (BloodX or ScanX) and booking your checkup through our platform. Tests and scans are conducted at NABL- and ISO-accredited labs and diagnostic centers, ensuring the highest standards of accuracy and quality. Once your data is collected, Cent’s AI engine analyzes 100+ biomarkers, imaging, and genetics to generate organ-wise scores, biological age, and risk alerts for 200+ conditions. A qualified doctor then walks you through the results in a one-on-one consultation, and you receive personalized, science-backed recommendations all accessible in your digital health dashboard
200+ diseases that show no early symptoms like heart disease, fatty liver, kidney dysfunction, prediabetes. Cent is designed to detect these silent risks early so you can act in time.
Yes. MRI is completely radiation-free and safe, even for frequent scans. It is one of the best tools to detect soft tissue abnormalities like tumors, inflammation, and early neurological changes.
You’ll get a detailed digital health report including risk scores across 10+ body systems, overall personalized health score, organ-specific insights and actionable
CT Calcium Scoring measures the amount of calcium buildup in your heart arteries a key indicator of hidden coronary artery disease. Even if your cholesterol is normal, a high calcium score means you may be at higher risk of heart attack and should act early.
Cent’s biomarker panels measure over 100 indicators—ranging from metabolic health and inflammation to cancer markers and nutrient levels.
All tests are conducted in accredited labs using validated methods, ensuring high reliability and precision
DEXA (Dual-Energy X-ray Absorptiometry) assesses your bone density, body fat percentage, and muscle mass. It helps detect osteoporosis risk, visceral fat linked to metabolic disease, and sarcopenia (muscle loss).
Yes. Full Body MRI, specific blood tumor markers, Lung Scan and targeted organ scans can detect many cancers in early or pre-symptomatic stageswhen treatment is most effective and survival rates exceed 90% for some cancers.
Most chronic diseases (heart disease, diabetes, cancer) develop silently over years. A comprehensive, multi-modal approach increases the chance of picking up problems early. Cent’s philosophy: Detect it before it becomes a crisis.